Tested Applications
| Positive WB detected in | mouse colon tissue, mouse stomach tissue, rat colon tissue, rat stomach tissue |
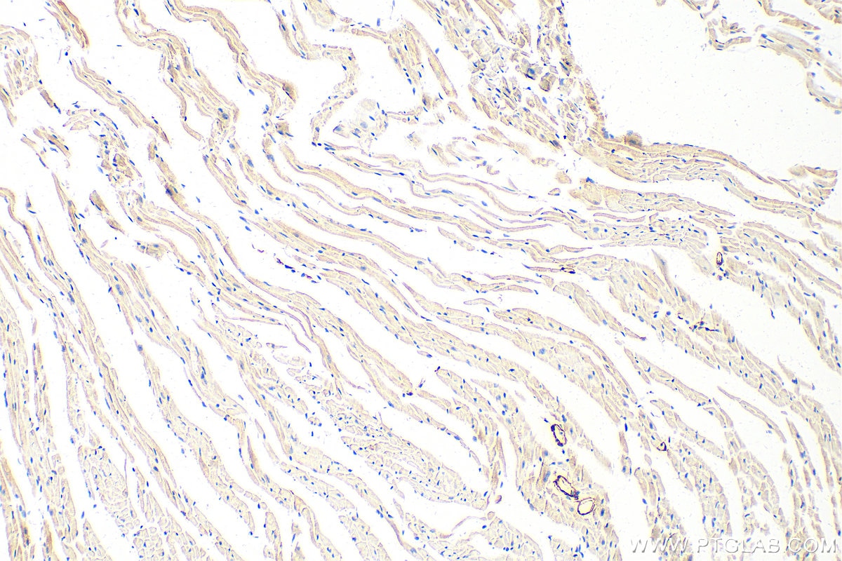
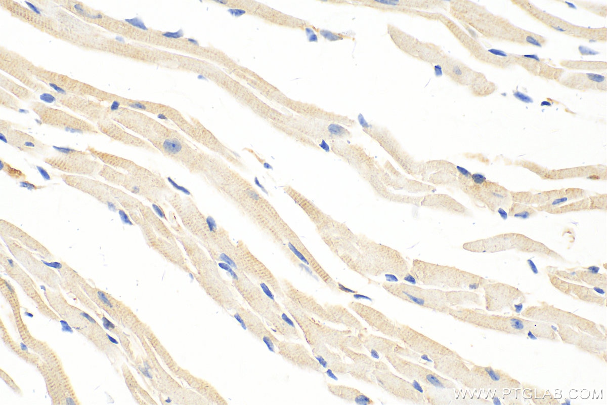
| Positive IHC detected in | mouse brain tissue, human colon cancer tissue, mouse heart tissue Note: suggested antigen retrieval with TE buffer pH 9.0; (*) Alternatively, antigen retrieval may be performed with citrate buffer pH 6.0 |
| Positive IF-P detected in | mouse heart tissue |
| Positive IF-Fro detected in | mouse heart tissue |
Recommended dilution
| Application | Dilution |
|---|---|
| Western Blot (WB) | WB : 1:20000-1:100000 |
| Immunohistochemistry (IHC) | IHC : 1:1000-1:4000 |
| Immunofluorescence (IF)-P | IF-P : 1:200-1:800 |
| Immunofluorescence (IF)-FRO | IF-FRO : 1:50-1:500 |
| It is recommended that this reagent should be titrated in each testing system to obtain optimal results. | |
| Sample-dependent, Check data in validation data gallery. | |
Published Applications
| KD/KO | See 3 publications below |
| WB | See 141 publications below |
| IHC | See 26 publications below |
| IF | See 62 publications below |
| IP | See 1 publications below |
Product Information
10493-1-AP targets transgelin/SM22 in WB, IHC, IF-P, IF-Fro, IP, ELISA applications and shows reactivity with human, mouse, rat samples.
| Tested Reactivity | human, mouse, rat |
| Cited Reactivity | human, mouse, rat, canine, bovine |
| Host / Isotype | Rabbit / IgG |
| Class | Polyclonal |
| Type | Antibody |
| Immunogen |
CatNo: Ag0764 Product name: Recombinant human TAGLN protein Source: e coli.-derived, PGEX-4T Tag: GST Domain: 1-201 aa of BC004927 Sequence: MANKGPSYGMSREVQSKIEKKYDEELEERLVEWIIVQCGPDVGRPDRGRLGFQVWLKNGVILSKLVNSLYPDGSKPVKVPENPPSMVFKQMEQVAQFLKAAEDYGVIKTDMFQTVDLFEGKDMAAVQRTLMALGSLAVTKNDGHYRGDPNWFMKKAQEHKREFTESQLQEGKHVIGLQMGSNRGASQAGMTGYGRPRQIIS Predict reactive species |
| Full Name | transgelin |
| Calculated Molecular Weight | 22 kDa |
| Observed Molecular Weight | 19-22 kDa |
| GenBank Accession Number | BC004927 |
| Gene Symbol | transgelin/SM22 |
| Gene ID (NCBI) | 6876 |
| RRID | AB_2199363 |
| Conjugate | Unconjugated |
| Form | Liquid |
| Purification Method | Antigen affinity purification |
| UNIPROT ID | Q01995 |
| Storage Buffer | PBS with 0.02% sodium azide and 50% glycerol, pH 7.3. |
| Storage Conditions | Store at -20°C. Stable for one year after shipment. Aliquoting is unnecessary for -20oC storage. 20ul sizes contain 0.1% BSA. |
Background Information
The transgelin family is a protein group belonging to the 22kd actin-related calponin superfamily. Of all three isoforms, transgelin 1 is the best characterized. Transgelin 1, or SM22alpha, is a specific marker for differentiated smooth muscle cells. Transgelin 2, also known as SM22 beta, is expressed by both smooth and non-smooth muscle cells in a temporally and spatially regulated pattern. Trangenlin 3, also known as NP25, is only found in highly differentiated neuronal cells. This antibody was generated against full-length transgelin 1 protein. It can cross-react with other two transgenes based on the sequence similarity.
Protocols
| Product Specific Protocols | |
|---|---|
| IF protocol for transgelin/SM22 antibody 10493-1-AP | Download protocol |
| IHC protocol for transgelin/SM22 antibody 10493-1-AP | Download protocol |
| WB protocol for transgelin/SM22 antibody 10493-1-AP | Download protocol |
| Standard Protocols | |
|---|---|
| Click here to view our Standard Protocols |
Publications
| Species | Application | Title |
|---|---|---|
Cell Host Microbe Gut microbiome dysbiosis contributes to abdominal aortic aneurysm by promoting neutrophil extracellular trap formation | ||
Acta Pharm Sin B The substitution of SERCA2 redox cysteine 674 promotes pulmonary vascular remodeling by activating IRE1α/XBP1s pathway. | ||
Acta Pharm Sin B Cytoplasmic and nuclear NFATc3 cooperatively contributes to vascular smooth muscle cell dysfunction and drives aortic aneurysm and dissection | ||
J Exp Med Dependence of proliferative vascular smooth muscle cells on CD98hc (4F2hc, SLC3A2). | ||
Nat Commun Hyperlipidemia-induced cholesterol crystal production by endothelial cells promotes atherogenesis. |
Reviews
The reviews below have been submitted by verified Proteintech customers who received an incentive for providing their feedback.
FH Ying (Verified Customer) (08-19-2019) | very good antibody
|















