Tested Applications
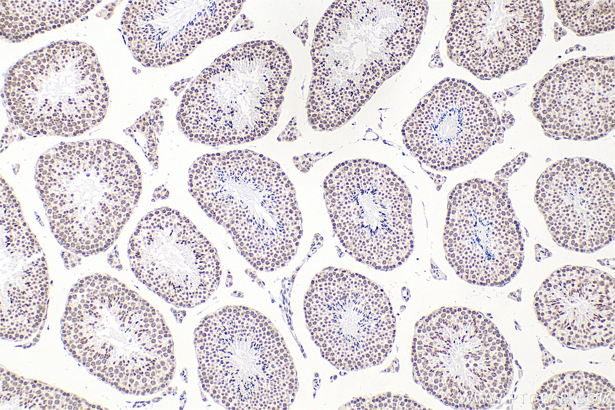
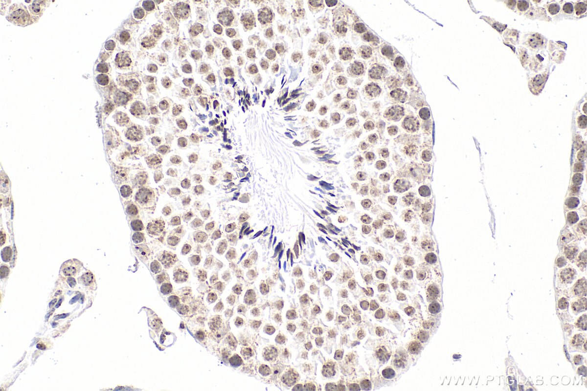
| Positive IHC detected in | mouse testis tissue Note: suggested antigen retrieval with TE buffer pH 9.0; (*) Alternatively, antigen retrieval may be performed with citrate buffer pH 6.0 |
Recommended dilution
| Application | Dilution |
|---|---|
| Immunohistochemistry (IHC) | IHC : 1:1500-1:6000 |
| It is recommended that this reagent should be titrated in each testing system to obtain optimal results. | |
| Sample-dependent, Check data in validation data gallery. | |
Product Information
Biotin-68301 targets 5-methylcytosine in IHC applications and shows reactivity with 5mc, chemical compound, m5c samples.
| Tested Reactivity | 5mc, chemical compound, m5c |
| Host / Isotype | Mouse / IgG2b |
| Class | Monoclonal |
| Type | Antibody |
| Immunogen |
Peptide Predict reactive species |
| Full Name | 5-methylcytosine |
| Gene Symbol | |
| Gene ID (NCBI) | |
| Conjugate | Biotin |
| Form | Liquid |
| Purification Method | Protein A purification |
| Storage Buffer | PBS with 50% glycerol, 0.05% Proclin300, 0.5% BSA, pH 7.3. |
| Storage Conditions | Store at -20°C. Avoid exposure to light. Stable for one year after shipment. Aliquoting is unnecessary for -20oC storage. |
Background Information
In eukaryotes, 5-methylcytosine in DNA (5mC) and its oxidized derivatives (5-hydroxymethylcytosine (5hmC), 5-formylcytosine (5fC), and 5-carboxylcytosine (5caC)) are the most prominent modifications and have been suggested to contribute to epigenetic gene regulation through a variety of different mechanisms. m5C has also been found in mRNA, rRNA and tRNA of representative organisms from all kinds of species. As reversible epigenetic modifications, m5C modifications of RNA affect the fate of the modified RNA molecules and play important roles in various biological processes including RNA stability control, protein synthesis, and transcriptional regulation (PMID: 35365216).
This antibody can recognize both 5mC in DNA and m5C in RNA.
Protocol for Dot Blot:
https://www.ptglab.com/protocol/68301-1-IgDotBlot.pdf
Protocols
| Product Specific Protocols | |
|---|---|
| IHC protocol for Biotin 5-methylcytosine antibody Biotin-68301 | Download protocol |
| Standard Protocols | |
|---|---|
| Click here to view our Standard Protocols |



