Tested Applications
| Positive WB detected in | HEK-293T cells, HeLa cells, mouse brain tissue, mouse cerebellum tissue, rat cerebellum tissue, HEK-293 cells, pig brain tissue |
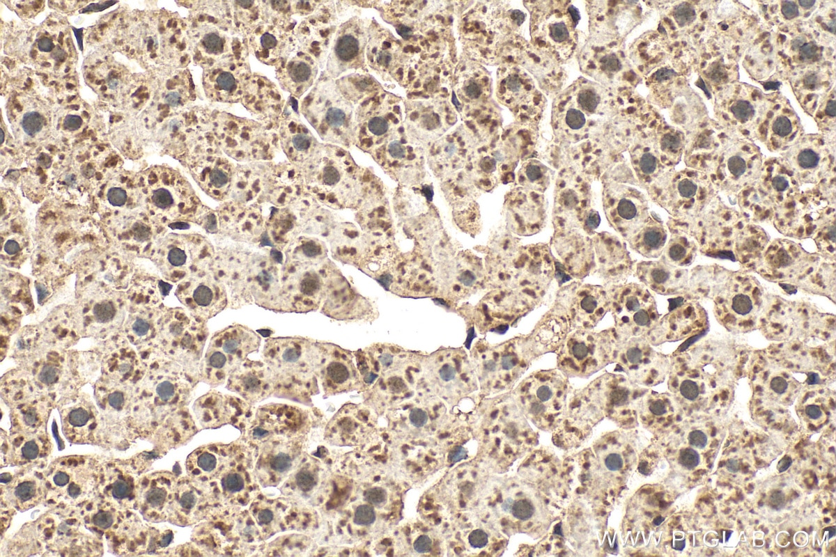
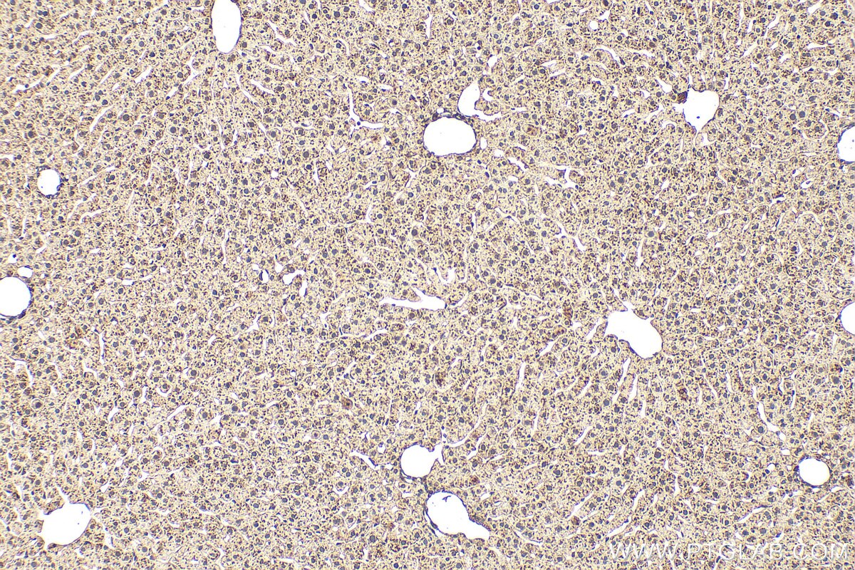
| Positive IHC detected in | rat liver tissue Note: suggested antigen retrieval with TE buffer pH 9.0; (*) Alternatively, antigen retrieval may be performed with citrate buffer pH 6.0 |
| Positive IF/ICC detected in | A431 cells |
Recommended dilution
| Application | Dilution |
|---|---|
| Western Blot (WB) | WB : 1:1000-1:4000 |
| Immunohistochemistry (IHC) | IHC : 1:50-1:500 |
| Immunofluorescence (IF)/ICC | IF/ICC : 1:200-1:800 |
| It is recommended that this reagent should be titrated in each testing system to obtain optimal results. | |
| Sample-dependent, Check data in validation data gallery. | |
Published Applications
| WB | See 1 publications below |
Product Information
67884-1-Ig targets ADC in WB, IHC, IF/ICC, ELISA applications and shows reactivity with human, mouse, rat, pig samples.
| Tested Reactivity | human, mouse, rat, pig |
| Cited Reactivity | human |
| Host / Isotype | Mouse / IgG1 |
| Class | Monoclonal |
| Type | Antibody |
| Immunogen |
CatNo: Ag31049 Product name: Recombinant human ADC protein Source: e coli.-derived, PET28a Tag: 6*His Domain: 251-460 aa of BC028128 Sequence: EIASVINSALDLYFPEGCGVDIFAELGRYYVTSAFTVAVSIIAKKEVLLDQPGREEENGSTSKTIVYHLDEGVYGIFNSVLFDNICPTPILQKKPSTEQPLYSSSLWGPAVDGCDCVAEGLWLPQLHVGDWLVFDNMGAYTVGMGSPFWGTQACHITYAMSRVAWEALRRQLMAAEQEDDVEGVCKPLSCGWEITDTLCVGPVFTPASIM Predict reactive species |
| Full Name | arginine decarboxylase |
| Calculated Molecular Weight | 460 aa, 50 kDa |
| Observed Molecular Weight | 48-50 kDa |
| GenBank Accession Number | BC028128 |
| Gene Symbol | ADC |
| Gene ID (NCBI) | 113451 |
| RRID | AB_2918641 |
| Conjugate | Unconjugated |
| Form | Liquid |
| Purification Method | Protein G purification |
| UNIPROT ID | Q96A70 |
| Storage Buffer | PBS with 0.02% sodium azide and 50% glycerol, pH 7.3. |
| Storage Conditions | Store at -20°C. Stable for one year after shipment. Aliquoting is unnecessary for -20oC storage. 20ul sizes contain 0.1% BSA. |
Background Information
Antizyme inhibitor 2 (AZIN2) is a member of the antizyme inhibitor family, witch is able to bind to AZs and inhibit their action on both ODC activity and polyamine uptake. AZIN2 is predominantly expressed in the brain and testis and localized in the endoplasmic reticulum-golgi intermediate compartment. Available data suggest its role in cell growth, spermiogenesis, vesicular trafficking and secretion. Accumulation of azin2 has also been observed in brains of patients with Alzheimer's disease (PMID: 19832840) . AZIN2 has 5 described insoforms produced by alternative splicing. The molecular weight of AZIN2 is about 50 kDa.
Protocols
| Product Specific Protocols | |
|---|---|
| IF protocol for ADC antibody 67884-1-Ig | Download protocol |
| IHC protocol for ADC antibody 67884-1-Ig | Download protocol |
| WB protocol for ADC antibody 67884-1-Ig | Download protocol |
| Standard Protocols | |
|---|---|
| Click here to view our Standard Protocols |



















