• KD/KO Validated

ARPC1B Recombinant monoclonal antibody

ARPC1B Uni-rAb® Recombinant Antibody for WB, IP, ELISA
Cat No. 87393-1-RR
Clone No.252807F12

Host / Isotype

Rabbit / IgG

Reactivity

human, mouse, rat

Applications

WB, IP, ELISA

Actin-related protein 2/3 complex subunit 1B, ARC41, p41 ARC, p41-ARC

Formulation:  PBS, Azide, Glycerol
PBS, Azide, Glycerol
PBS Only
Conjugate:  Unconjugated
Unconjugated
Size/Concentration: 

-/ -

Freight/Packing: -

Quantity

Please visit your regions distributor:


Tested Applications

Positive WB detected inHeLa cells, HEK-293T cells, rat spleen tissue, mouse spleen tissue
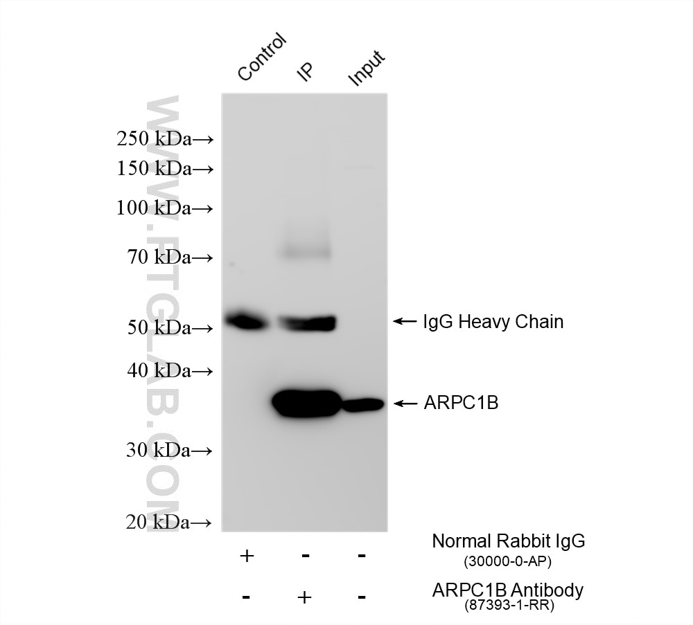
Positive IP detected inHeLa cells

Recommended dilution

ApplicationDilution
Western Blot (WB)WB : 1:5000-1:50000
Immunoprecipitation (IP)IP : 0.5-4.0 ug for 1.0-3.0 mg of total protein lysate
It is recommended that this reagent should be titrated in each testing system to obtain optimal results.
Sample-dependent, Check data in validation data gallery.

Product Information

87393-1-RR targets ARPC1B in WB, IP, ELISA applications and shows reactivity with human, mouse, rat samples.

Tested Reactivity human, mouse, rat
Host / Isotype Rabbit / IgG
Class Recombinant
Type Antibody
Immunogen

CatNo: Ag29001

Product name: Recombinant human ARPC1B protein

Source: e coli.-derived, PGEX-4T

Tag: GST

Domain: 265-372 aa of BC007555

Sequence: CFPVLFTYDAAAGMLSFGGRLDVPKQSSQRGLTARERFQNLDKKASSEGGTAAGAGLDSLHKNSVSQISVLSGGKAKCSQFCTTGMDGGMSIWDVKSLESALKDLKIK

Predict reactive species
Full Name actin related protein 2/3 complex, subunit 1B, 41kDa
Calculated Molecular Weight 41 kDa
Observed Molecular Weight 37 kDa
GenBank Accession NumberBC007555
Gene Symbol ARPC1B
Gene ID (NCBI) 10095
Conjugate Unconjugated
FormLiquid
Purification MethodProtein A purification
UNIPROT IDO15143
Storage Buffer PBS with 0.02% sodium azide and 50% glycerol, pH 7.3.
Storage ConditionsStore at -20°C. Stable for one year after shipment. Aliquoting is unnecessary for -20oC storage. 20ul sizes contain 0.1% BSA.

Background Information

ARPC1B also known as ARC41, p41-ARC, or p40-ARC, is one of seven subunits of the human Arp2/3 protein complex, that belongs to the SOP2 family. ARPC1B localizes on centrosomes and has a distinct role in centrosomal homeostasis. ARPC1B is both a physiological activator and substrate of Aurora A kinase, and these interactions help to maintain mitotic integrity in mammalian cells. In recent resaeach, ARPC1B is selected as a candidate prediction marker for sensitivity of Choroidal malignant melanomas to radiotherapy.

Protocols

Product Specific Protocols
IP protocol for ARPC1B antibody 87393-1-RRDownload protocol
WB protocol for ARPC1B antibody 87393-1-RRDownload protocol
Standard Protocols
Click here to view our Standard Protocols
Loading...
||
New chat

Able

正在加载,请稍候...