Product Information
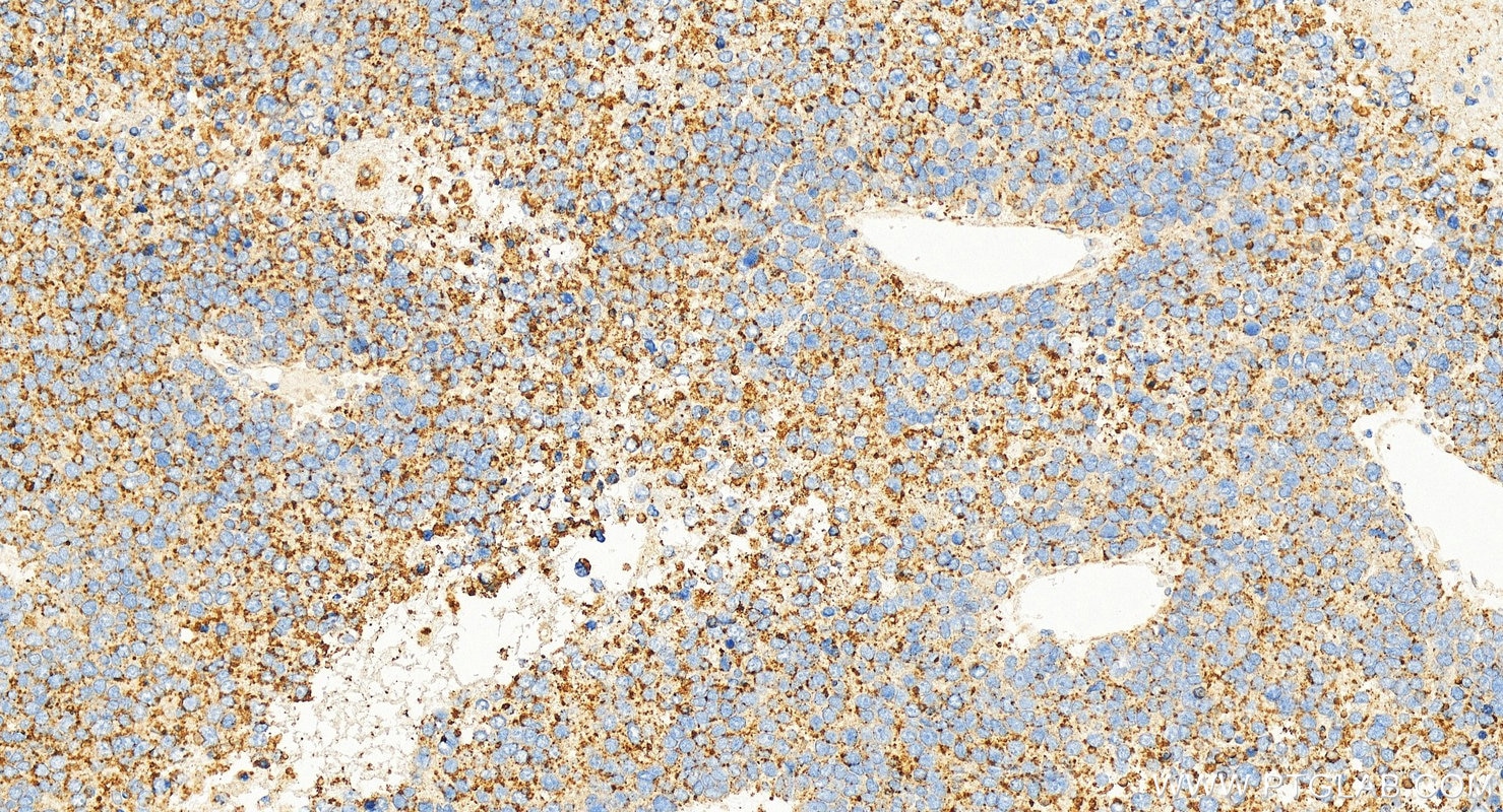
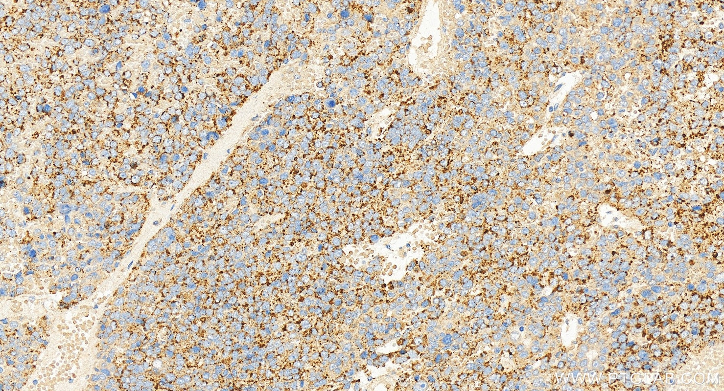
67512-1-PBS targets BSEP in WB, IHC, IF-P, ELISA applications and shows reactivity with human, mouse, rat, pig samples.
| Tested Reactivity | human, mouse, rat, pig |
| Host / Isotype | Mouse / IgG1 |
| Class | Monoclonal |
| Type | Antibody |
| Immunogen |
CatNo: Ag29135 Product name: Recombinant human BSEP protein Source: e coli.-derived, PET28a Tag: 6*His Domain: 622-750 aa of NM_003742 Sequence: AADTIIGFEHGTAVERGTHEELLERKGVYFTLVTLQSQGNQALNEEDIKDATEDDMLARTFSRGSYQDSLRASIRQRSKSQLSYLVHEPPLAVVDHKSTYEEDRKDKDIPVQEEVEPAPVRRILKFSAP Predict reactive species |
| Full Name | ATP-binding cassette, sub-family B (MDR/TAP), member 11 |
| Calculated Molecular Weight | 146 kDa |
| Observed Molecular Weight | 150-160 kDa |
| GenBank Accession Number | NM_003742 |
| Gene Symbol | BSEP |
| Gene ID (NCBI) | 8647 |
| RRID | AB_2882733 |
| Conjugate | Unconjugated |
| Form | Liquid |
| Purification Method | Protein G purification |
| UNIPROT ID | O95342 |
| Storage Buffer | PBS only, pH 7.3. |
| Storage Conditions | Store at -80°C. |
Background Information
ABCB11, also named as BSEP, belongs to the ABC transporter superfamily. ABCB11 involved in the ATP-dependent secretion of bile salts into the canaliculus of hepatocytes. Mutation of ABCB11 will cause the progressive familial intrahepatic cholestasis type 2 (PFIC2) and the benign recurrent intrahepatic cholestasis type 2 (BRIC2). Genetic variations in ABCB11 may play a role in drug-induced cholestasis causing liver damage. The calculated MW of ABCB11 is 146 kDa, 67512-1-Ig can detect bands around 150 kDa. It's reported that ABCB11 has several N-glycosylation sites, the observed higher molecular mass may due to posttranslational N-glycosylation. (PMID: 9545351, 24359682)

























