Product Information
11146-1-PBS targets Gamma Catenin in WB, IHC, IP, Indirect ELISA applications and shows reactivity with human, mouse, rat samples.
| Tested Reactivity | human, mouse, rat |
| Host / Isotype | Rabbit / IgG |
| Class | Polyclonal |
| Type | Antibody |
| Immunogen |
CatNo: Ag1627 Product name: Recombinant human JUP protein Source: e coli.-derived, PGEX-4T Tag: GST Domain: 396-745 aa of BC011865 Sequence: LVNQLSVDDVNVLTCATGTLSNLTCNNSKNKTLVTQNSGVEALIHAILRAGDKDDITEPAVCALRHLTSRHPEAEMAQNSVRLNYGIPAIVKLLNQPNQWPLVKATIGLIRNLALCPANHAPLQEAAVIPRLVQLLVKAHQDAQRHVAAGTQQPYTDGVRMEEIVEGCTGALHILARDPMNRMEIFRLNTIPLFVQLLYSSVENIQRVAAGVLCELAQDKEAADAIDAEGASAPLMELLHSRNEGTATYAAAVLFRISEDKNPDYRKRVSVELTNSLFKHDPAAWEAAQSMIPINEPYGDDLDATYRPMYSSDVPLDPLEMHMDMDGDYPIDTYSDGLRPPYPTADHMLA Predict reactive species |
| Full Name | junction plakoglobin |
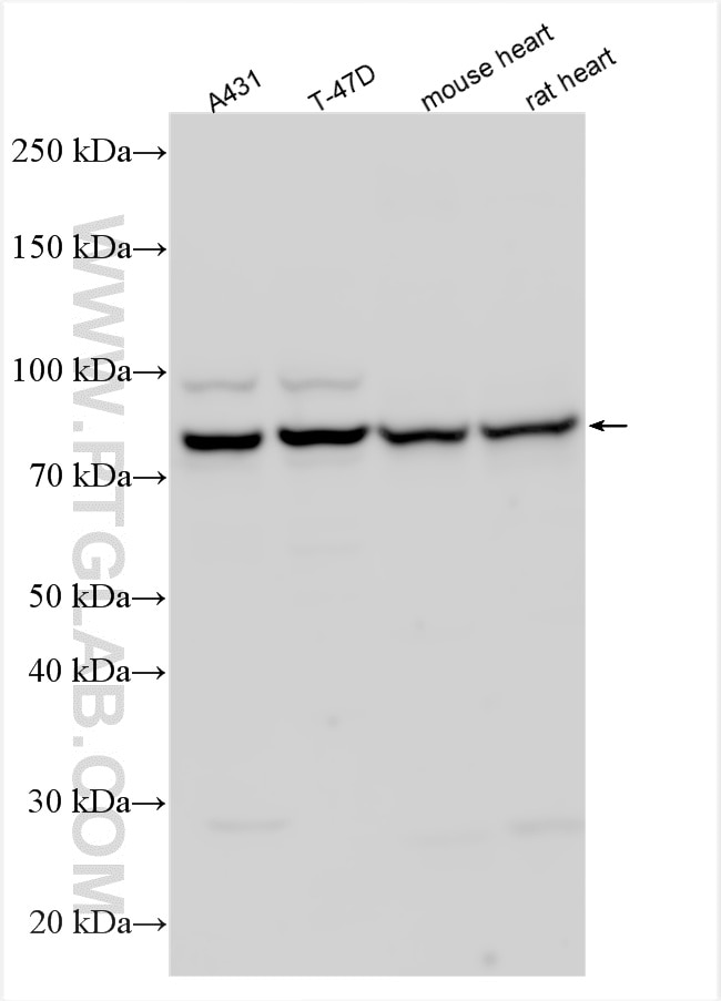
| Calculated Molecular Weight | 82 kDa |
| Observed Molecular Weight | 82 kDa |
| GenBank Accession Number | BC011865 |
| Gene Symbol | Gamma Catenin |
| Gene ID (NCBI) | 3728 |
| RRID | AB_2265007 |
| Conjugate | Unconjugated |
| Form | Liquid |
| Purification Method | Antigen affinity purification |
| UNIPROT ID | P14923 |
| Storage Buffer | PBS only, pH 7.3. |
| Storage Conditions | Store at -80°C. |
Background Information
Plakoglobin (γ-catenin), a member of the Armadillo proteins, plays important roles in cell adhesion with α-catenin and β-catenin, is involved in Wnt signaling, and is translocated into the nucleus and binds LEF1. Plakoglobin is a major cytoplasmic component of both desmosomes and adherens junctions, and is the only known constituent common to submembranous plaques in both of these structures, which are located at the intercalated disc (ICD) of cardiomyocytes. Plakoglobin links cadherins to the actin cytoskeleton. Mutations in plakoglobin are associated with arrhythmogenic right ventricular dysplasia and Pemphigus vulgaris.



























