ChromoTek ISG15-Trap Magnetic Agarose

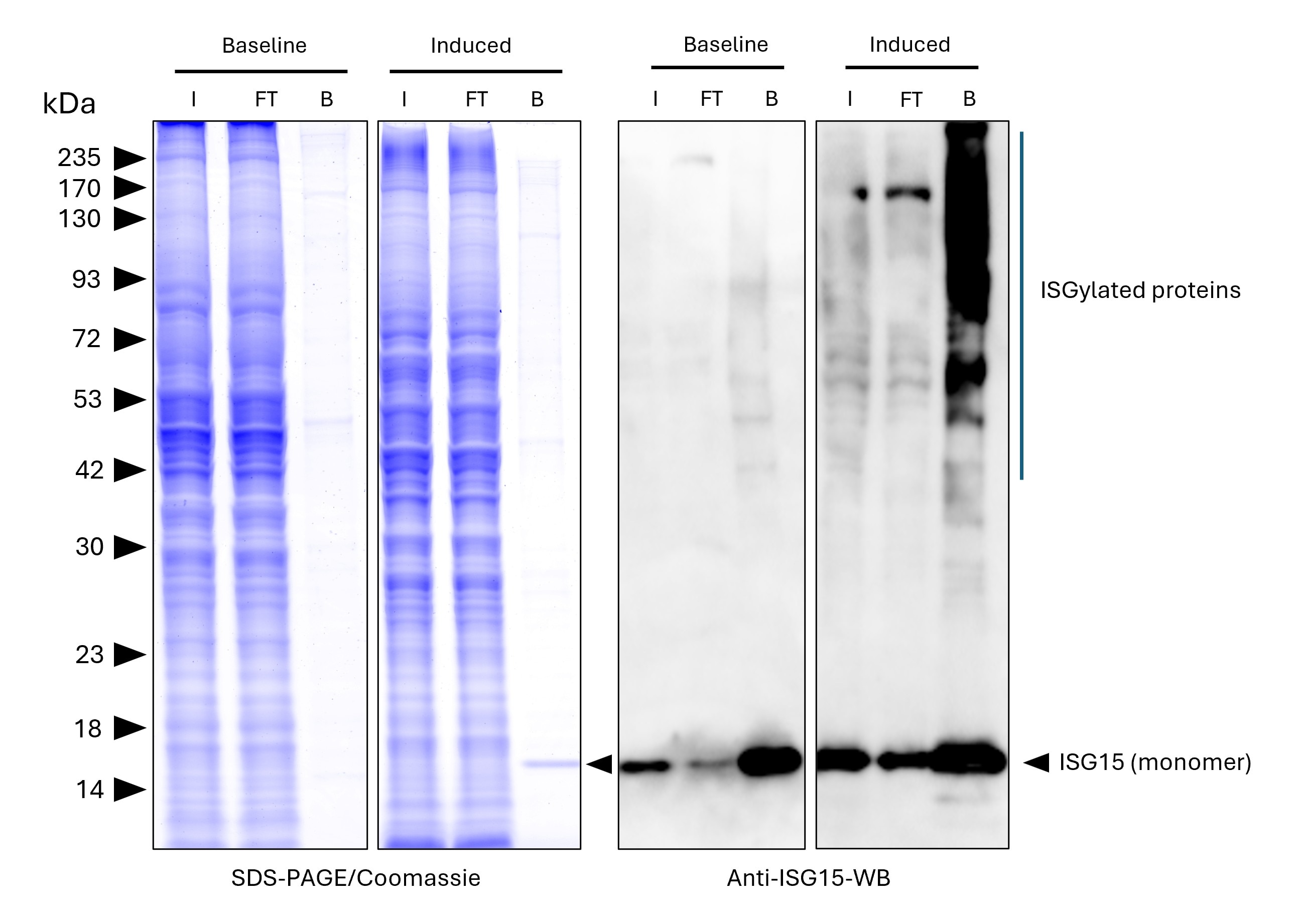
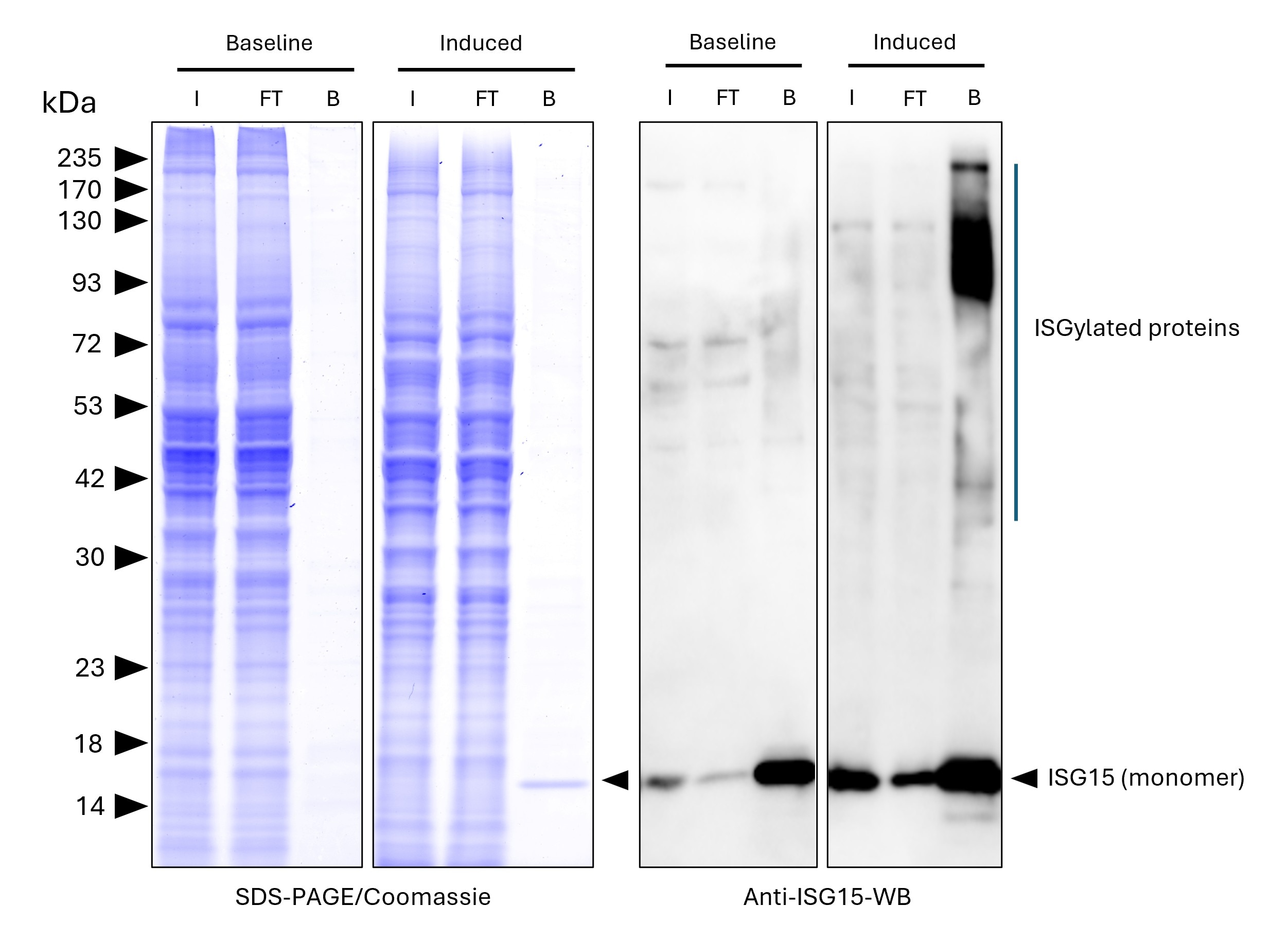
The ChromoTek ISG15-Trap Magnetic Agarose consists of an anti-ISG15 VHH (Nanobody), which is coupled to magnetic agarose beads. It can be used for the immunoprecipitation of ISG15 tagged proteins from cell extracts of various organisms.
Cat No. MG-3001MA

Reactivity

ISG15

Applications

IP, Co-IP

Host/Type

Alpaca, recombinant VHH

Conjugate

Magnetic Agarose

Interferon-induced 15 kDa protein, Interferon-induced 17 kDa protein (IP17), Ubiquitin cross-reactive protein (hUCRP), Ubiquitin-like protein ISG15

Size: 

-/ -

Freight/Packing: -

Quantity

Please visit your regions distributor:


Product Information

The ChromoTek ISG15-Trap Magnetic Agarose consists of an anti-ISG15 VHH (Nanobody), which is coupled to magnetic agarose beads. It can be used for the immunoprecipitation of ISG15 tagged proteins from cell extracts of various organisms.

DescriptionReady to use VHH coupled Magnetic Agarose Beads for Immunoprecipitation of ISG15.

• Fast, reliable & efficient one-step immunoprecipitation

• Ready-to-use

• Stable in harsh buffer conditions

• Suitable for downstream mass spec analysis

• High Specificity

• Low background

ApplicationsIP, Co-IP
Specificity/Target/
Binding Capacity5 μg of monovalent ISG15 (~17 kDa) per 25 μL bead slurry
Bead concentration6% Slurry
Resin TypeMagnetic Agarose beads; ~40 um (cross-linked 6% magnetic agarose beads)
Elution buffer2x SDS-sample buffer (Lämmli), 200 mM glycine pH 2.5
Wash Buffer Compatibility2M NaCl, 5 mM DTT, 5 mM β-mercaptoethanol, 5 mM TCEP, 2% NP40, 2% Triton X-100, 0.1% SDS, 1 M Urea
TypeVHH
ClassRecombinant - Animal free production
HostAlpaca
Affinity70 nM
Compatibility with mass spectrometryThe ISG15-Trap is optimized for on-bead digestion. For the application note, please click here:
On-bead digest protocol for mass spectrometry
RRIDAB_3740243
Storage Buffer20% Ethanol
Storage ConditionUpon arrival store at +4°C / do not freeze!
ShippingAmbient Temp

||
New chat

Able

正在加载,请稍候...