Tested Applications
| Positive WB detected in | mouse brain tissue, HEK-293 cells, pig brain tissue, rat brain tissue, rabbit brain tissue |
Recommended dilution
| Application | Dilution |
|---|---|
| Western Blot (WB) | WB : 1:1000-1:6000 |
| It is recommended that this reagent should be titrated in each testing system to obtain optimal results. | |
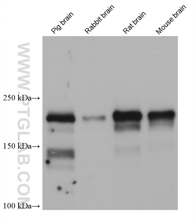
| Sample-dependent, Check data in validation data gallery. | |
Published Applications
| WB | See 3 publications below |
Product Information
67640-1-Ig targets PHLPP1 in WB, ELISA applications and shows reactivity with human, mouse, rat, pig, rabbit samples.
| Tested Reactivity | human, mouse, rat, pig, rabbit |
| Cited Reactivity | human, mouse, pig |
| Host / Isotype | Mouse / IgG2b |
| Class | Monoclonal |
| Type | Antibody |
| Immunogen |
CatNo: Ag18982 Product name: Recombinant human PHLPP protein Source: e coli.-derived, PET28a Tag: 6*His Domain: 1068-1204 aa of BC126277 Sequence: QQHLLQVPAEASDEGIVISANEDEPGLPRKADFSAVGTIGRRRANGSVAPQERSHNVIEVATDAPLRKPGGYFAAPAQPDPDDQFIIPPELEEEVKEIMKHHQEQQQQQQPPPPPQLQPQLPRHYQLDQLPDYYDTP Predict reactive species |
| Full Name | PH domain and leucine rich repeat protein phosphatase |
| Calculated Molecular Weight | 185 kDa, 134 kDa |
| Observed Molecular Weight | 185 kDa |
| GenBank Accession Number | BC126277 |
| Gene Symbol | PHLPP |
| Gene ID (NCBI) | 23239 |
| RRID | AB_2882840 |
| Conjugate | Unconjugated |
| Form | Liquid |
| Purification Method | Protein A purification |
| UNIPROT ID | O60346 |
| Storage Buffer | PBS with 0.02% sodium azide and 50% glycerol, pH 7.3. |
| Storage Conditions | Store at -20°C. Stable for one year after shipment. Aliquoting is unnecessary for -20oC storage. 20ul sizes contain 0.1% BSA. |
Background Information
PHLPP (PH domain leucine-rich-repeats protein phosphatase) belongs to a novel family of Ser/Thr protein phosphatases that consists of PHLPP1 and PHLPP2 isoforms. It has been shown that PHLPP negatively regulates multiple oncogenic pathways by directly dephosphorylating and inactivating key signaling molecules, including Akt, S6K, and RAF1. Observed MW of PHLPP1 beta is 185 kDa.
Protocols
| Product Specific Protocols | |
|---|---|
| WB protocol for PHLPP1 antibody 67640-1-Ig | Download protocol |
| Standard Protocols | |
|---|---|
| Click here to view our Standard Protocols |
Publications
| Species | Application | Title |
|---|---|---|
Oxid Med Cell Longev MicroRNA-299a-5p Protects against Spinal Cord Injury through Activating AMPK Pathway. | ||
Pediatr Res Preterm birth alters the feeding-induced activation of Akt signaling in the muscle of neonatal piglets | ||
Cell Death Dis Direct conversion of human umbilical cord mesenchymal stem cells into retinal pigment epithelial cells for treatment of retinal degeneration |









