TEM1/CD248 Recombinant monoclonal antibody

TEM1/CD248 Uni-rAb® Recombinant Antibody for WB, IF-P, ELISA

Cat No. 87247-1-RR
Clone No.251338A5

Host / Isotype

Rabbit / IgG

Reactivity

human, mouse

Applications

WB, IF-P, ELISA

CD248, TEM1, CD164L1, CD248 molecule, endosialin, Endosialin

Formulation:  PBS, Azide, Glycerol
PBS, Azide, Glycerol
PBS Only
Conjugate:  Unconjugated
Unconjugated
Size/Concentration: 

-/ -

Freight/Packing: -

Quantity

Please visit your regions distributor:


Tested Applications

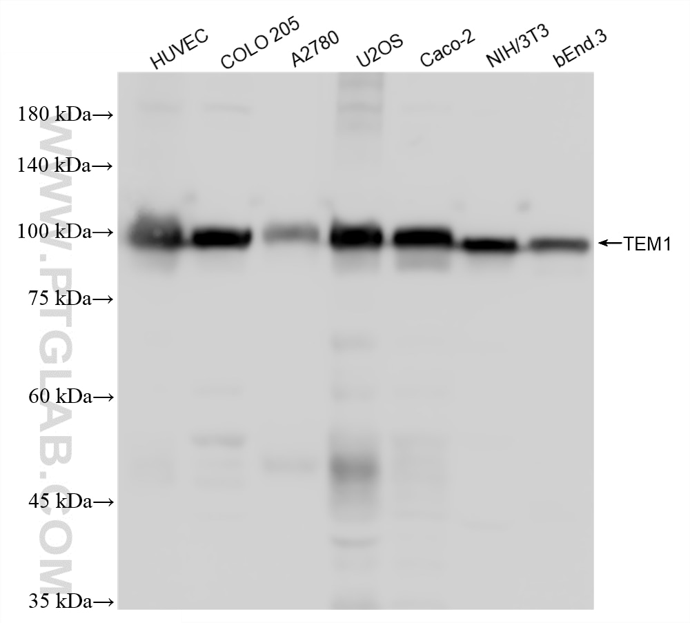
Positive WB detected inHUVEC cells, COLO 205 cells, A2780 cells, U2OS cells, Caco-2 cells, NIH/3T3 cells, bEnd.3 cells
Positive IF-P detected inhuman placenta tissue

Recommended dilution

ApplicationDilution
Western Blot (WB)WB : 1:5000-1:50000
Immunofluorescence (IF)-PIF-P : 1:50-1:500
It is recommended that this reagent should be titrated in each testing system to obtain optimal results.
Sample-dependent, Check data in validation data gallery.

Product Information

87247-1-RR targets TEM1/CD248 in WB, IF-P, ELISA applications and shows reactivity with human, mouse samples.

Tested Reactivity human, mouse
Host / Isotype Rabbit / IgG
Class Recombinant
Type Antibody
Immunogen

CatNo: Eg4427

Product name: recombinant human CD248 protein

Source: mammalian cells-derived, pHZ-KIsec-C-rFc

Tag: C-rFc

Domain: 18-360 aa of BC051340

Sequence: QDPWAAEPRAACGPSSCYALFPRRRTFLEAWRACRELGGDLATPRTPEEAQRVDSLVGAGPASRLLWIGLQRQARQCQLQRPLRGFTWTTGDQDTAFTNWAQPASGGPCPAQRCVALEASGEHRWLEGSCTLAVDGYLCQFGFEGACPALQDEAGQAGPAVYTTPFHLVSTEFEWLPFGSVAAVQCQAGRGASLLCVKQPEGGVGWSRAGPLCLGTGCSPDNGGCEHECVEEVDGHVSCRCTEGFRLAADGRSCEDPCAQAPCEQQCEPGGPQGYSCHCRLGFRPAEDDPHRCVDTDECQIAGVCQQMCVNYVGGFECYCSEGHELEADGISCSPAGAMGAQA

Predict reactive species
Full Name CD248 molecule, endosialin
Calculated Molecular Weight 757 aa, 81 kDa
Observed Molecular Weight100 kDa
GenBank Accession NumberBC051340
Gene Symbol TEM1
Gene ID (NCBI) 57124
Conjugate Unconjugated
FormLiquid
Purification MethodProtein A purification
UNIPROT IDQ9HCU0
Storage Buffer PBS with 0.02% sodium azide and 50% glycerol, pH 7.3.
Storage ConditionsStore at -20°C. Stable for one year after shipment. Aliquoting is unnecessary for -20oC storage. 20ul sizes contain 0.1% BSA.

Background Information

TEM1 (Tumor endothelial marker 1), also named as CD248, Endosialin and CD164L1, is a C-type lectin-like domain (CTLD) containing type I transmembrane glycoprotein. It is now considered to be a highly selective marker for activated perivascular and stromal cells, detected in most cancers and at least some inflammatory disorders. CD248 plays a role in tumor angiogenesis. It is a potential diagnostic tool and therapeutic target of inflammatory and malignant diseases. Two isoforms of human TEM1 exist. The calculated molecular weights of the two isoforms are 81 kDa and 46 kDa, respectively. Native TEM1 can be glycosylated, and the glycosylated form has a larger apparent molecular weight than 81 kDa.

Protocols

Product Specific Protocols
IF protocol for TEM1/CD248 antibody 87247-1-RRDownload protocol
WB protocol for TEM1/CD248 antibody 87247-1-RRDownload protocol
Standard Protocols
Click here to view our Standard Protocols
Loading...
||
New chat

Able

正在加载,请稍候...