Product Information
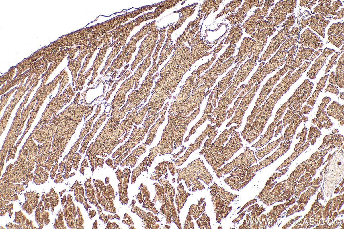
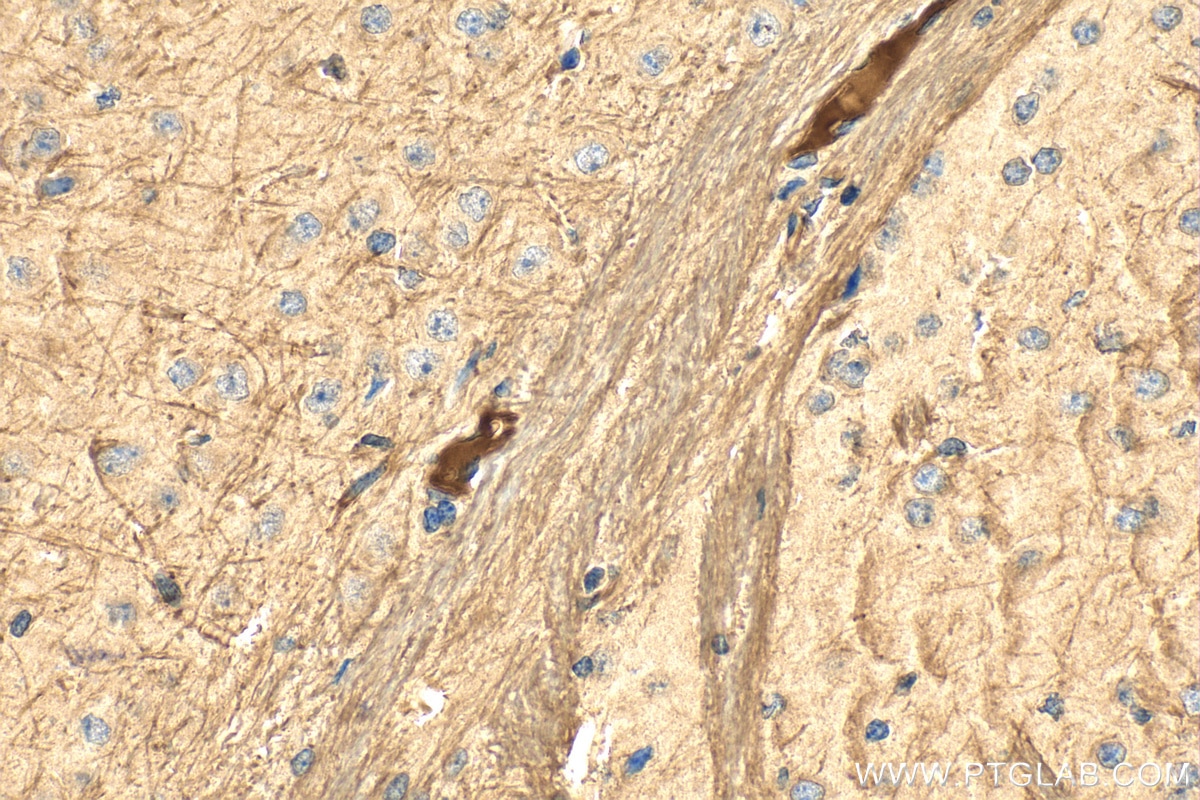
15468-1-PBS targets TRADD in WB, IHC, IP, Indirect ELISA applications and shows reactivity with human, mouse samples.
| Tested Reactivity | human, mouse |
| Host / Isotype | Rabbit / IgG |
| Class | Polyclonal |
| Type | Antibody |
| Immunogen |
CatNo: Ag7768 Product name: Recombinant human TRADD protein Source: e coli.-derived, PET28a Tag: 6*His Domain: 1-312 aa of BC004491 Sequence: MAAGQNGHEEWVGSAYLFVESSLDKVVLSDAYAHPQQKVAVYRALQAALAESGGSPDVLQMLKIHRSDPQLIVQLRFCGRQPCGRFLRAYREGALRAALQRSLAAALAQHSVPLQLELRAGAERLDALLADEERCLSCILAQQPDRLRDEELAELEDALRNLKCGSGARGGDGEVASAPLQPPVPSLSEVKPPPPPPPAQTFLFQGQPVVNRPLSLKDQQTFARSVGLKWRKVGRSLQRGCRALRDPALDSLAYEYEREGLYEQAFQLLRRFVQAEGRRATLQRLVEALEENELTSLAEDLLGLTDPNGGLA Predict reactive species |
| Full Name | TNFRSF1A-associated via death domain |
| Calculated Molecular Weight | 34 kDa |
| Observed Molecular Weight | 34 kDa |
| GenBank Accession Number | BC004491 |
| Gene Symbol | TRADD |
| Gene ID (NCBI) | 8717 |
| RRID | AB_2209035 |
| Conjugate | Unconjugated |
| Form | Liquid |
| Purification Method | Antigen affinity purification |
| UNIPROT ID | Q15628 |
| Storage Buffer | PBS only, pH 7.3. |
| Storage Conditions | Store at -80°C. |











