Tested Applications
| Positive WB detected in | HeLa cells, NIH/3T3 cells |
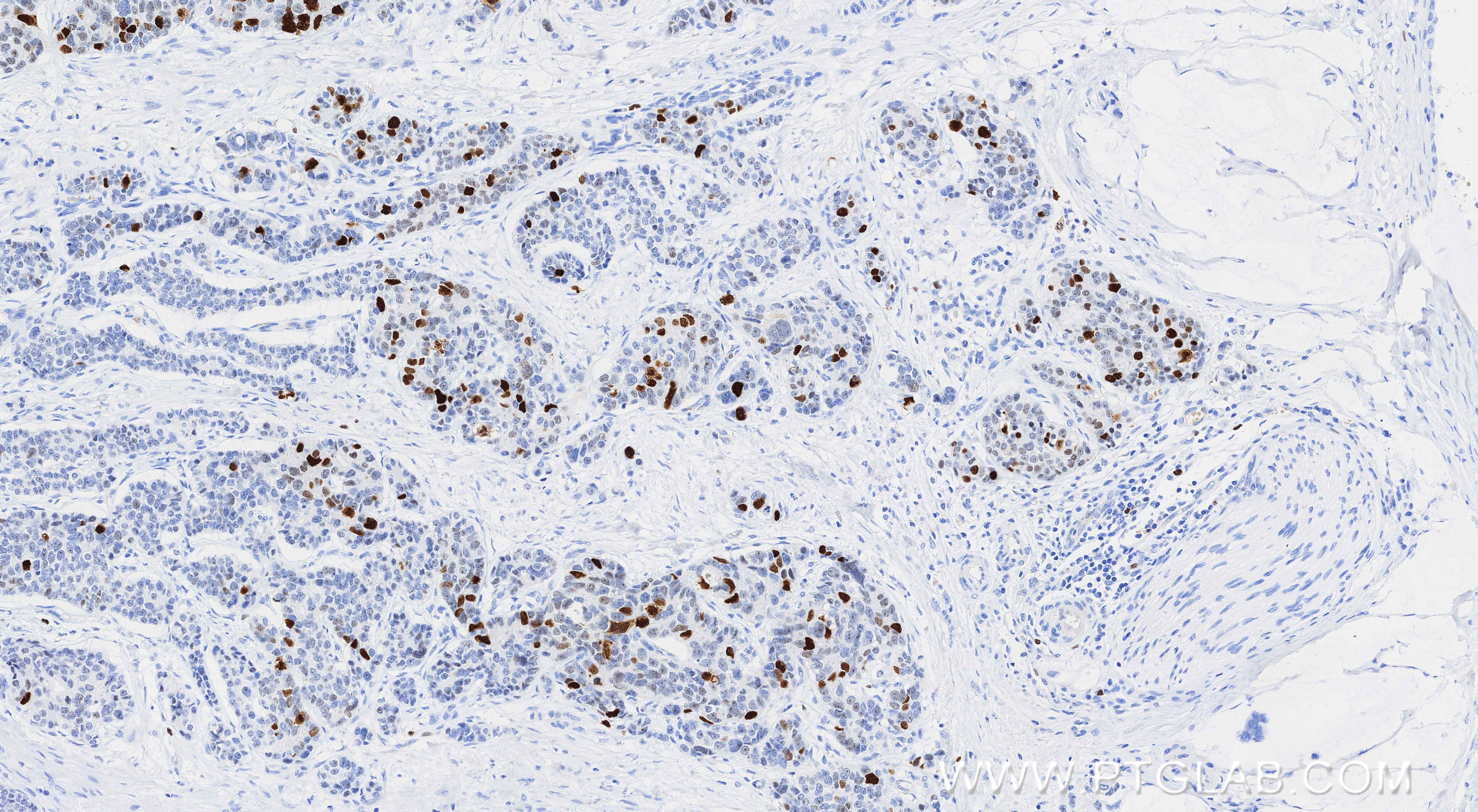
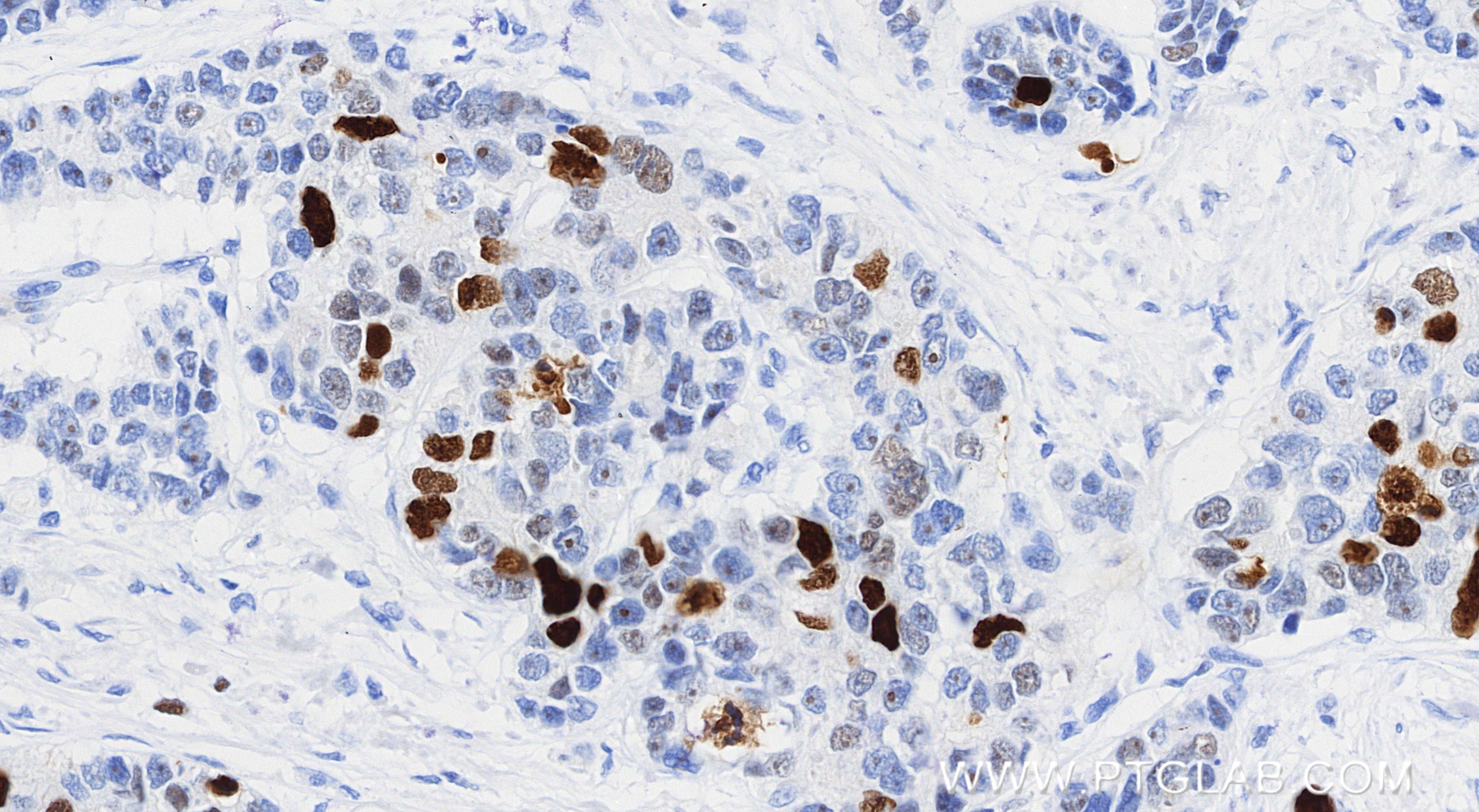
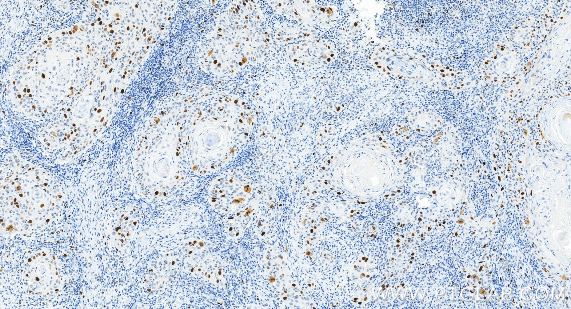
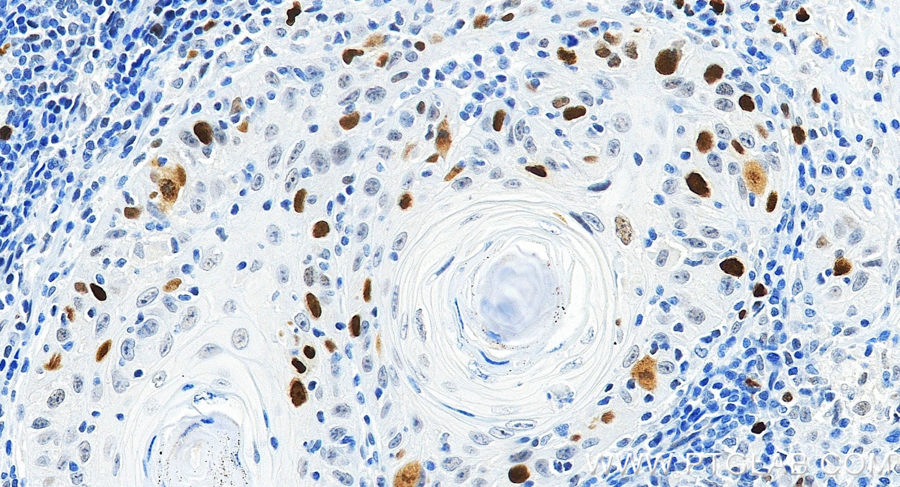
| Positive IHC detected in | mouse testis tissue, human placenta tissue, human skin cancer tissue, human stomach cancer tissue, human tonsillitis tissue Note: suggested antigen retrieval with TE buffer pH 9.0; (*) Alternatively, antigen retrieval may be performed with citrate buffer pH 6.0 |
| Positive IF/ICC detected in | HeLa cells |
Recommended dilution
| Application | Dilution |
|---|---|
| Western Blot (WB) | WB : 1:2000-1:10000 |
| Immunohistochemistry (IHC) | IHC : 1:400-1:1600 |
| Immunofluorescence (IF)/ICC | IF/ICC : 1:200-1:800 |
| It is recommended that this reagent should be titrated in each testing system to obtain optimal results. | |
| Sample-dependent, Check data in validation data gallery. | |
Product Information
85981-1-RR targets KIFC1 in WB, IHC, IF/ICC, ELISA applications and shows reactivity with human, mouse samples.
| Tested Reactivity | human, mouse |
| Host / Isotype | Rabbit / IgG |
| Class | Recombinant |
| Type | Antibody |
| Immunogen |
CatNo: Ag14492 Product name: Recombinant human KIFC1 protein Source: e coli.-derived, PET28a Tag: 6*His Domain: 382-725 aa of BC000712 Sequence: GLLLFPSGPGGPSDPPTRLSLSRSDERRGTLSGAPAPPPRHDFSFDRVFPPGSGQDEVFEEIAMLVQSALDGYPVCIFAYGQTGSGKTFTMEGGPGGDPQLEGLIPRALRHLFSVAQELSGQGWTYSFVASYVEIYNETVRDLLATGTRKGQGGECEIRRAGPGSEELTVTNARYVPVSCEKEVDALLHLARQNRAVARTAQNERSSRSHSVFQLQISGEHSSRGLQCGAPLSLVDLAGSERLDPGLALGPGERERLRETQAINSSLSTLGLVIMALSNKESHVPYRNSKLTYLLQNSLGGSAKMLMFVNISPLEENVSESLNSLRFASKVNQCVIGTAQANRK Predict reactive species |
| Full Name | kinesin family member C1 |
| Calculated Molecular Weight | 673 aa, 74 kDa |
| Observed Molecular Weight | 74 kDa |
| GenBank Accession Number | BC000712 |
| Gene Symbol | KIFC1 |
| Gene ID (NCBI) | 3833 |
| Conjugate | Unconjugated |
| Form | Liquid |
| Purification Method | Protein A purification |
| UNIPROT ID | Q9BW19 |
| Storage Buffer | PBS with 0.02% sodium azide and 50% glycerol, pH 7.3. |
| Storage Conditions | Store at -20°C. Stable for one year after shipment. Aliquoting is unnecessary for -20oC storage. 20ul sizes contain 0.1% BSA. |
Background Information
KIFC1 is a molecular motor protein belonging to the kinesin-14 family that has motor domains at the C-terminus. KIFC1 is widely distributed, with highest expression in testis and participating in acrosome biogenesis and vesicle transport. It is also abundant in ovary, spleen, and liver. KIFC1 proteins are generally localized in the perinuclear region, and have been found to be involved chromosome alignment, congression and intracellular DNA transport (PMID: 12826589, PMID: 15236353, PMID: 23543461).
Protocols
| Product Specific Protocols | |
|---|---|
| IF protocol for KIFC1 antibody 85981-1-RR | Download protocol |
| IHC protocol for KIFC1 antibody 85981-1-RR | Download protocol |
| WB protocol for KIFC1 antibody 85981-1-RR | Download protocol |
| Standard Protocols | |
|---|---|
| Click here to view our Standard Protocols |



























