Validation Data Gallery
Product Information
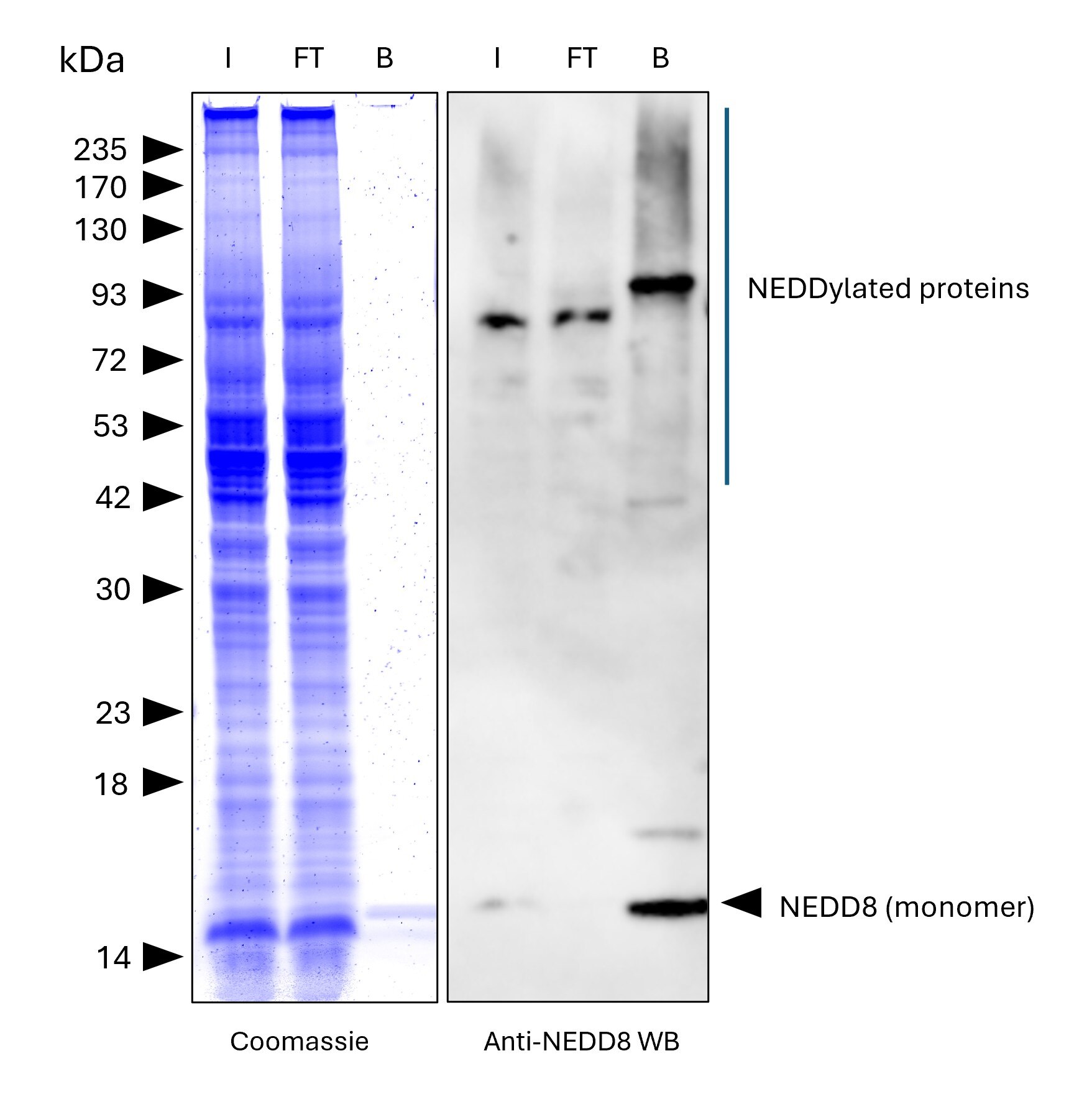
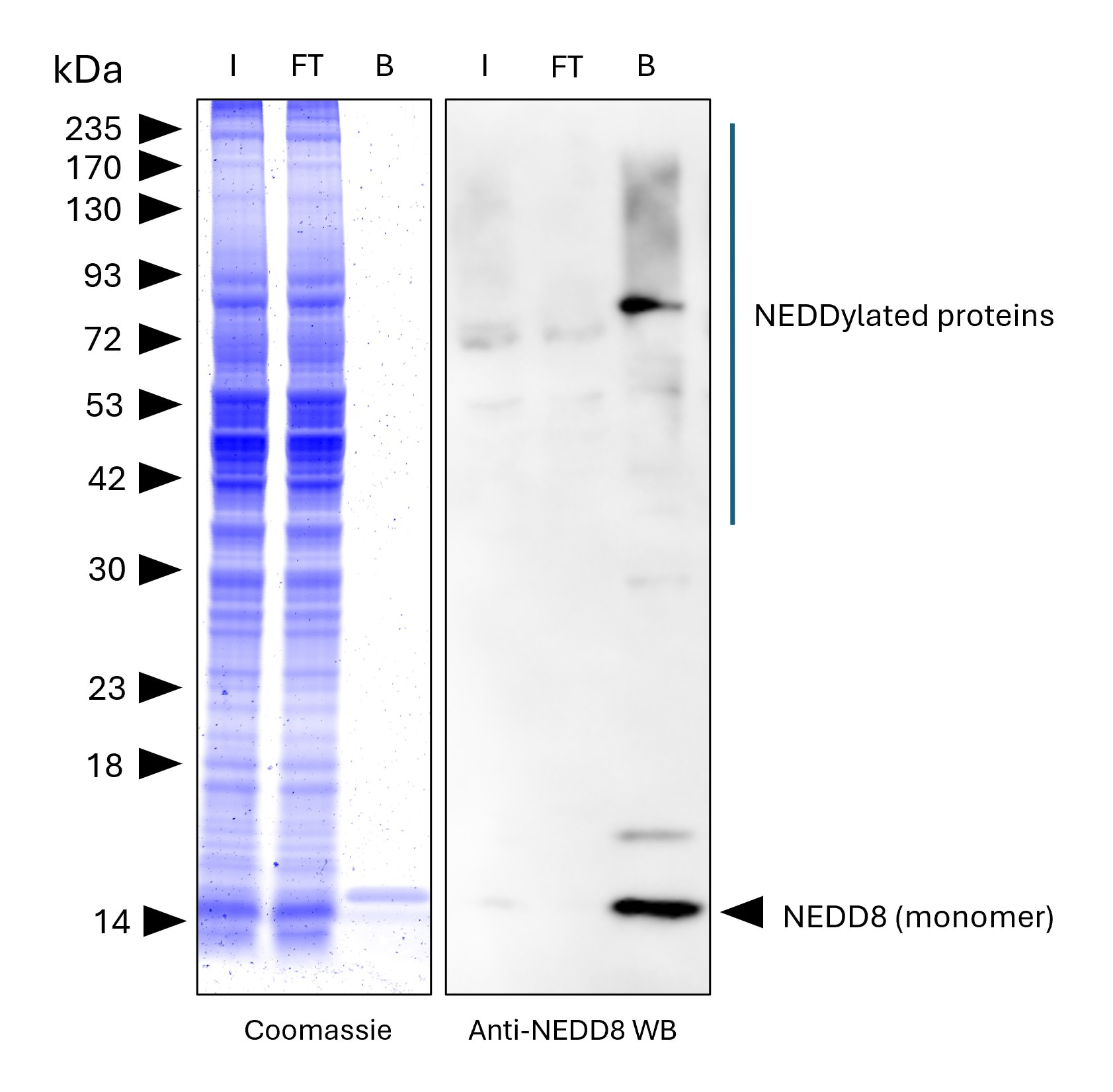
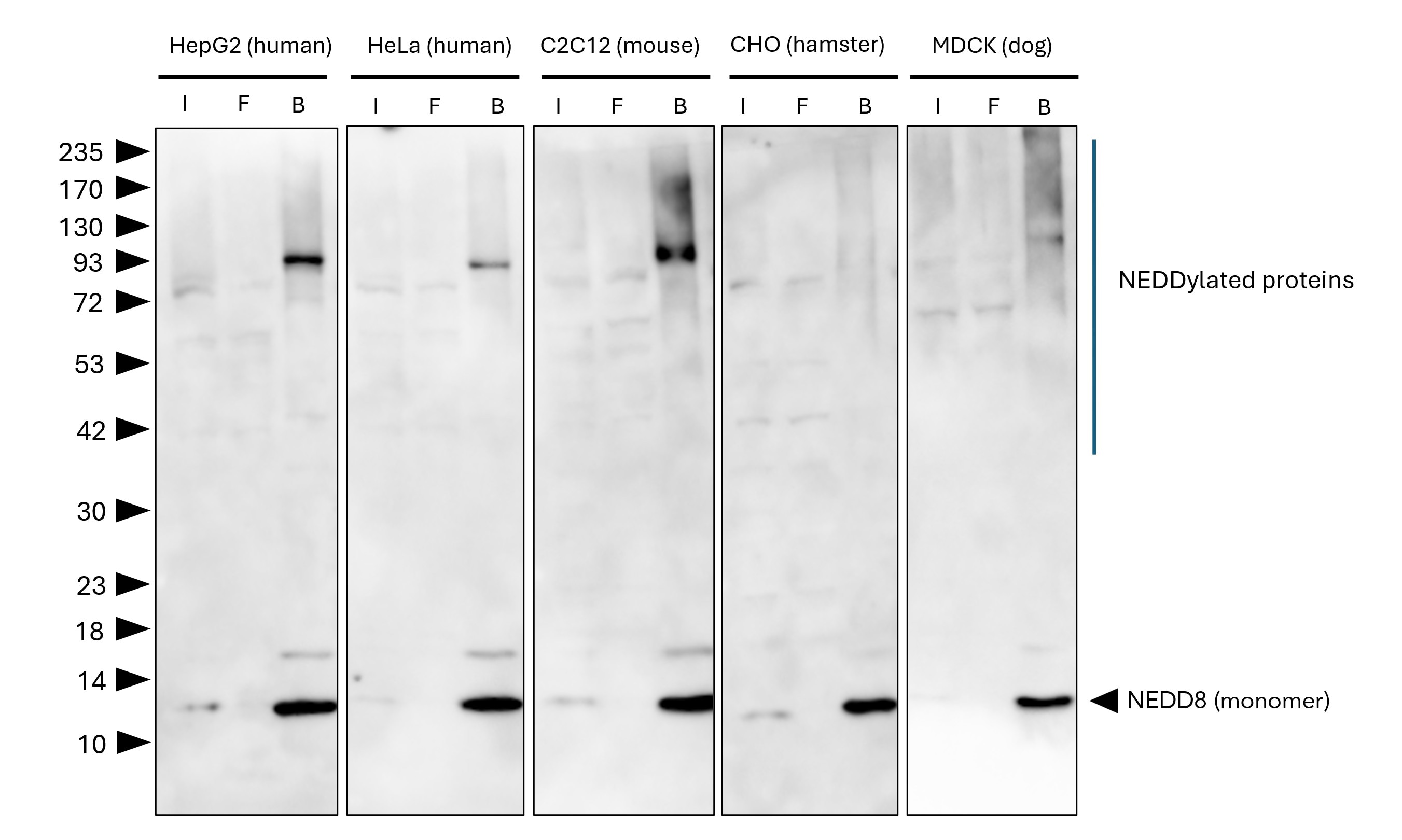
The ChromoTek NEDD8-Trap Agarose, Kit for Immunoprecipitation consists of an anti-NEDD8 VHH, which is coupled to agarose beads. It also contains lysis, wash, and elution buffers that can be used for the immunoprecipitation of NEDD8 tagged proteins from cell extracts of various organisms.
| Description | The NEDD8-Trap Agarose Kit contains NEDD8-Trap Agarose, lysis, wash, and elution buffers for efficient immunoprecipitation of NEDD8 proteins. • Fast, reliable & efficient one-step immunoprecipitation • Ready-to-use • Stable in harsh buffer conditions • Suitable for downstream mass spec analysis • High Specificity • Low background |
| Applications | IP, Co-IP |
| Specificity/Target | / |
| Binding Capacity | / |
| Bead concentration | 50% Slurry |
| Resin Type | Agarose beads; bead size: ~ 90 µm (cross-linked 4 % agarose beads) |
| Elution buffer | 2x SDS-sample buffer (Lämmli), 200 mM glycine pH 2.5 |
| Wash Buffer Compatibility | 2M NaCl, 5 mM DTT, 5 mM β-mercaptoethanol, 5 mM TCEP, 2% NP40, 2% Triton X-100, 0.05% SDS, 3-4 M Urea |
| Type | VHH |
| Class | Recombinant - Animal free production |
| Host | Alpaca |
| Affinity | 350 nM |
| Compatibility with mass spectrometry | The NEDD8-Trap is optimized for on-bead digestion. For the application note, please click here: On-bead digest protocol for mass spectrometry |
| RRID | AB_3740244 |
| Storage Buffer | 20% Ethanol |
| Storage Condition | Upon arrival store at +4°C / do not freeze! |
| Shipping | Ambient Temp |
Kit components
| Component | Description |
|---|---|
| NEDD8-Trap Agarose | 20 reactions (500 µl) |
| Lysis buffer | Optimized for cytoplasmic proteins and mammalian cell lysis |
| RIPA buffer | Optimized for nuclear/chromatin proteins and mammalian cell lysis |
| RIPA buffer | Optimized for nuclear/chromatin proteins and mammalian cell lysis |
| Wash buffer | Removal of unwanted proteins, peptides, etc. |
| Dilution buffer | Dilution of cell lysate |
| Elution buffer | For acidic elution |
Documentation
| SDS |
|---|
| SDS_MG-3002AK_NEDD8-Trap Agarose Kit |
| Datasheet |
|---|
| NEDD8-Trap Agarose, Kit for Immunoprecipitation Datasheet |


