Validation Data Gallery
Product Information
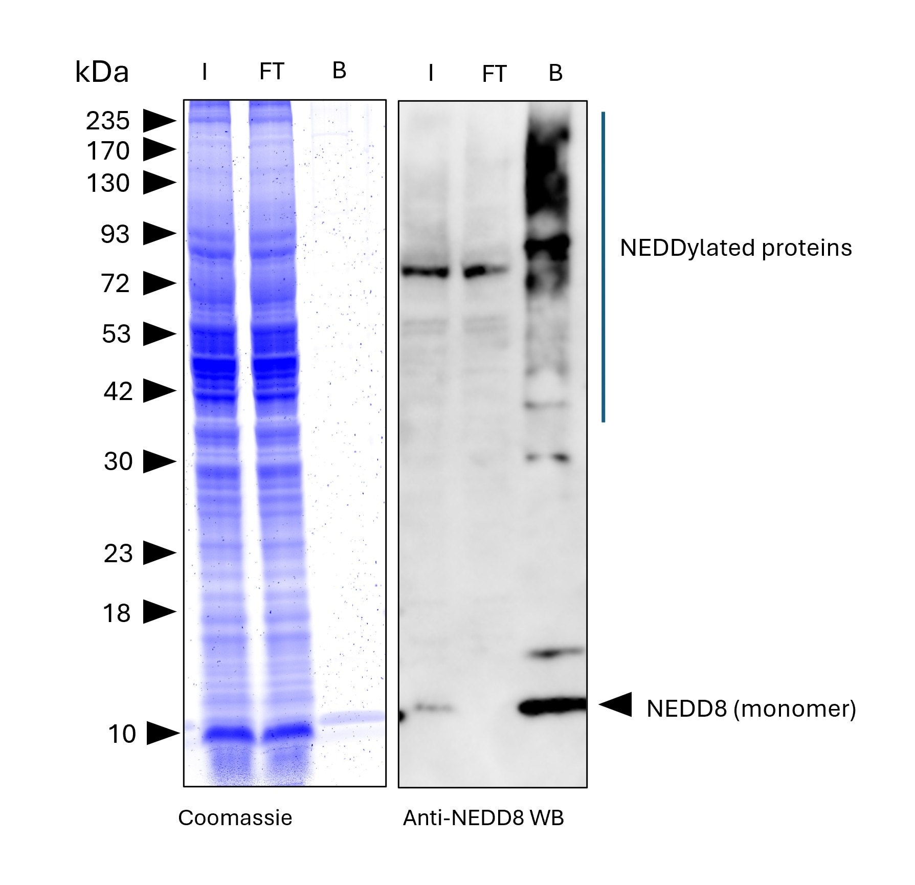
The ChromoTek NEDD8-Trap Magnetic Agarose consists of an anti-NEDD8 VHH (Nanobody), which is coupled to magnetic agarose beads. It can be used for the immunoprecipitation of NEDD8 tagged proteins from cell extracts of various organisms.
| Description | Ready to use VHH coupled Magnetic Agarose Beads for Immunoprecipitation of NEDD8. • Fast, reliable & efficient one-step immunoprecipitation • Ready-to-use • Stable in harsh buffer conditions • Suitable for downstream mass spec analysis • High Specificity • Low background |
| Applications | IP, Co-IP |
| Specificity/Target | / |
| Binding Capacity | / |
| Bead concentration | 6% Slurry |
| Resin Type | Magnetic Agarose beads; ~40 um (cross-linked 6% magnetic agarose beads) |
| Elution buffer | 2x SDS-sample buffer (Lämmli), 200 mM glycine pH 2.5 |
| Wash Buffer Compatibility | 2M NaCl, 5 mM DTT, 5 mM β-mercaptoethanol, 5 mM TCEP, 2% NP40, 2% Triton X-100, 0.1% SDS, 1 M Urea |
| Type | VHH |
| Class | Recombinant - Animal free production |
| Host | Alpaca |
| Affinity | 350 nM |
| Compatibility with mass spectrometry | The NEDD8-Trap is optimized for on-bead digestion. For the application note, please click here: On-bead digest protocol for mass spectrometry |
| RRID | AB_3740245 |
| Storage Buffer | 20% Ethanol |
| Storage Condition | Upon arrival store at +4°C / do not freeze! |
| Shipping | Ambient Temp |
Documentation
| SDS |
|---|
| SDS_MG-3002MA_NEDD8-Trap Magnetic Agarose |
| Datasheet |
|---|
| NEDD8-Trap Magnetic Agarose Datasheet |


